Exceptional dental care for every stage of your journey

We are committed to providing highest quality dental care in a comfortable and friendly environment.

Exceptional dental care for every stage of your journey

We are committed to providing personalized dental treatment that suits your unique needs.

Need Dental Services ?

+91 9819801940
+91 9819546106

opening hours

Mon to Sat 09:00 AM to 8.30 PM
Sun by Appointment Only

schedule appointment

draashalsanghvi@gmail.com

Mumbai's Best Dental Clinic

Where Your Smile Comes First!

At SANGHVI'S DENTAL CLINIC, we are committed to creating healthy, beautiful smiles in a warm and welcoming environment. Located in Santacruz (West), our dental clinic offers a full range of services for patients of all ages - from routine cleanings and preventive care to advanced cosmetic and restorative treatments.

Our team of skilled and compassionate dental professionals is dedicated to making every visit comfortable, stress-free, and personalized to your unique needs. Whether you're here for a check-up, teeth whitening, braces, implants, or emergency care we use the latest technology and techniques to ensure safe, effective, and gentle treatment.

At SANGHVI'S DENTAL CLINIC, your smile is our passion - and your oral health is our priority. Thank you for choosing us as your dental care partner. We look forward to helping you smile with confidence.

Our Assurance

  • Personalized Approach
  • Experienced Team
  • Emergency Dental Services
  • State-of-the-Art Technology
  • Comprehensive Services
  • Highest Sterilization Protocols

Our Achievements

45+

years of experience

40000+

happy Smiles

05+

Specialist Dentists

05*

Google Rating

Our Treatment offered

Explore the solutions we provide

The goal of our clinic is to provide a holistic approach to dentistry and the highest level of general, cosmetic, and specialist dental treatments in par with dental practices throughout the world.

Dental Consultation and Digital X-Rays

A dental consultation helps us understand your oral health needs and guide you with the right treatment options. During the visit, we carefully check your teeth, gums, and overall mouth condition...

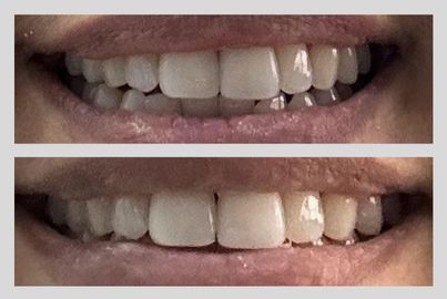
Cosmetic / Aesthetic Dentistry

Cosmetic dentistry enhances your smile’s beauty through treatments like veneers, smile designing, and teeth whitening. It corrects chipped teeth, gaps, and discoloration.

Restorations / Fillings (Composite)

Composite fillings are tooth-colored materials used to repair cavities, cracks, or chips. They blend naturally with your teeth, making them almost invisible while restoring strength and function.

Root Canal Treatment (Without the Pain)

Root canal treatment saves infected or severely decayed teeth. With modern techniques and anesthesia, the procedure is comfortable and nearly pain-free.

Crowns (CAD/CAM)

Crowns are protective caps placed over weak or damaged teeth to restore their strength and appearance. Crowns can be full coverage crowns or partal crowns like onlays or vonlays.

Bridges (CAD/CAM)

Dental bridges are used to replace missing teeth by anchoring an artificial tooth to the natural teeth on either side. With CAD/CAM technology, our bridges are highly precise, strong, and natural-looking.

Implants

Dental implants are permanent solutions for missing teeth. They act like natural tooth roots and provide strong support for crowns, bridges, or dentures.

Dentures

Dentures are removable replacements for missing teeth. They improve chewing, speaking, and restore your natural smile.

testimonials

Listen from our happy patients

At SANGHVI'S DENTAL CLINIC we are committed to providing high quality dental care to patients of all ages From general dentistry to specialised implant and cosmetic dentistry we have a dedicated team of doctors who will make sure to bring a smile to your face.

Dr Aashal Sanghvi explained my implant treatment procedure in a way that I understood and made me feel confident. She placed 12 implants in one sitting very efficiently, and painlessly. She has a very gentle hand and very experienced oral surgeon. I was very happy with the experience and care. Keep up the good work

saroj Sanklecha

patient

I appreciate your thoroughness and attention to detail dr Aashal Sanghvi. I am really satisfied by the outcome of the implant which you have placed for my front teeth. They are perfectly esthetic and I feel so confident and comfortable with it...A big thank you for getting my smile back. Your whole team was very friendly and professional. Thank you one again...for all the care and kindness

Dr. K. N. Sanklecha

patient

Very experience doctors Explained the entire process very patiently and it was a painless treatment A must visit for all your dental and oral surgical needs

Viha Gahrotra

patient

Supreme doc . Highly recommended . I went on recommendation and it turned out that doctor services were as good as she looks (sic) . The follow-up care is also exceptional and easily accessible after treatment, which is opposite to the usual scenario where doctors are accessible before treatment but lack follow-up care afterward.

Jay Dhami

patient

A very seamless and painless experience all around - very tall claim to make by a dental clinic but Dr Sanghvi's clinic has shown it time and again throughout. Added bonus - the doctors don't overcharge!

Nehal Javeri

patient

Best dental treatment at this locality with affordable price.Highly recommended.

shweta rai

patient

How We Work

Our Gallery

contact us

Get in touch with us

The goal of our clinic is to provide a holistic approach to dentistry and the highest level of general, cosmetic, and specialist dental treatments in par with dental practices throughout the world.

contact details

+91 9819801940
+91 9819546106

address

A2, Akashdeep, 1st Rd, MSEB Colony, Santacruz (West), Mumbai, Maharashtra - 400054